MSN Health and Fitness

Why sex sells and diets fail

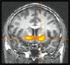
naccWhy do we say we’ll do one thing, but actually do something else? We humans are supposed to be rational beings, but time after time our emotions and their messy ways interfere with our goals. To understand how this happens, scientists are tracking what is going on in the brain when we make up our minds.

Read this article at MSN Health and Fitness.